Presse &… Presse 21.02.2025 NEUER…

NEUER COMPUTERTOMOGRAPH AM KREISKRANKENHAUS BERGSTRASSE BIETET VIELE NEUE MÖGLICHKEITEN FÜR PATIENTEN UND ÄRZTE

Aktuelles und Pressemitteilungen | 21.02.2025

„Der Computertomograph hat gegenüber älteren Geräten viele Vorteile: mit ihm ist uns eine noch präzisere und schnellere Diagnostik bei Herz-, Gefäß- und Krebserkrankungen möglich,“ erläutert Dr. Patricia Leutz-Schmidt, Chefärztin der Radiologie am KKB. 

Während der Patient auf den Untersuchungstisch gelagert und in den Computertomographen hineingefahren wird fällt auf, dass die Öffnung des Gerätes eher einem hohen Bogen entspricht und damit viel größer ist als bei herkömmlichen Modellen. Platzangst ist so wohl nun kein Thema mehr. 

Prof. Dr. Stefan Baumann, Chefarzt der Kardiologie am KKB, der ebenfalls der ersten, so besonderen Untersuchung beiwohnt, führt aus: 

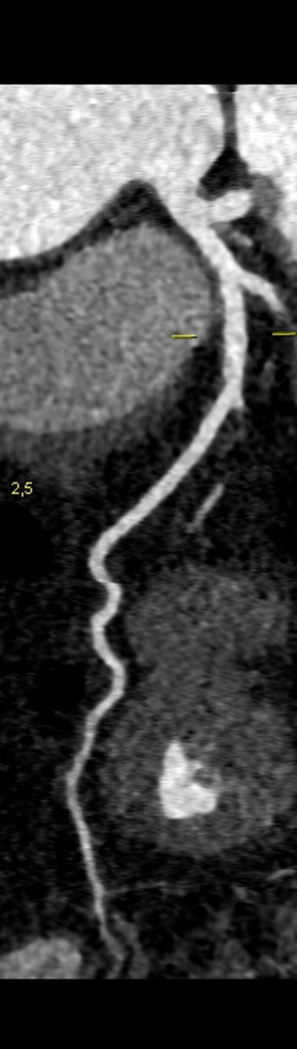
„Mit dem neuen Computertomographen steht uns nun auch die Möglichkeit zur Verfügung, Patienten nicht-invasiv am Herzen zu untersuchen. Herzkranzgefäße können durch das Herz-CT auf Engstellen und Herzkranzgefäßverkalkungen untersucht werden. So kann in ausgewählten Fällen eine Herzkatheteruntersuchung über die Leiste oder dem Arm durch ein Herz-CT vermieden werden. Die Behandlung wird für unsere Patienten so angenehm und auch risikoarm.“ 

Nach dem Ende der Herz-Computertomographie kann der Patient wieder ganz normal am Alltag teilnehmen. Die Bilder werden im Anschluss gemeinsam interdisziplinär von einem Radiologen und Kardiologen befundet.

„Neben den konventionellen 2D-Daten wird auch ein 3D-Modell des Herzens zur besseren Veranschaulichung erstellt,“ sagt Baumann. Der abschließende Befund würde in der Regel noch am selben Tag erstellt und dem behandelnden Arzt zugeschickt.

Der neue Computertomograph hat noch weitere, hilfreiche Funktionen für die Menschen in der Region Bergstraße: 

„Der „Siemens XCeed“ ist außerdem ein sogenannter Schwerlast-CT. Mit ihm können verlässliche Werte bei Menschen mit einem Gewicht von bis zu 307 Kilo ermittelt werden. Das ist mit herkömmlichen Geräten nicht möglich und gerade für Adipositas-Patienten von großer Bedeutung“, sagt Leutz-Schmidt.

Auch für die Neurologie am Kreiskrankenhaus in Heppenheim nehme der neue Computertomograph eine wichtige Rolle ein: Das hochmoderne Gerät helfe bei der Diagnose von Schlaganfällen und anderen akuten Hirnschädigungen. So könne mit Hilfe des Computertomographen vor allem Blutungen meist schnell erkannt werden. Durch die Gabe von Kontrastmitteln könnten zudem Gefäßveränderungen oder Durchblutungsstörungen schnell erfasst werden.

„Auch für die Patienten der Orthopädie, Unfallchirurgie und Wirbelsäulenchirurgie am Kreiskrankenhaus Bergstraße bietet der Computertomograph große Vorteile: Durch ihn werden eine bessere Diagnostik von Frakturen zur Beurteilung vor einer Operation möglich, Injektionen im Bereich der Wirbelsäule oder auch Punktionen von Gelenken sind nun ct-gesteuert exakt durchführbar“, ergänzt die Chefärztin.

 

Pressekontakt Kreiskrankenhaus Bergstraße
Cathrin Müller
Telefon: 06252-70192388
Mobil: 0172-6900369
E-Mail: cathrin.mueller@kkh-bergstrasse.de
Viernheimer Straße 2
64646 Heppenheim 

 

 

 

3D-Darstellung des Herzens
Darstellung Koronararterie
Auf dem Foto von links: Liljana Otto (MTR, CT-Verantwortliche), Dr. med. Stephanie Rosenkaimer (Oberärztin Kardiologie), Dr. med. Patricia Leutz-Schmidt (Chefärztin Radiologie), Dr. med. Frederik Eder (kardiologischer Arzt), Prof. Dr. Stefan Baumann (Chefarzt Kardiologie), Sabrina Gleißner (MTR, Bereichsleitung Radiologie)